циркониевая коронка 12 500 ₽
Восстановите жевательные зубы по специальной цене
до 31 декабря 2025
предложение имеет ограничения. ознакомьтесь с условиями
если зуб разрушен, но корень сохранён
Когда корень в хорошем состоянии, коронку можно установить на свой зуб. Это позволяет обойтись без имплантации: используется собственная опора, не требуется хирургическое вмешательство или время на заживление кости.
восстановить жевательный зуб
Данное предложение действует только на жевательную группу зубов (4−7 позиции)
после лечения каналов
Зуб после обработки каналов со временем теряет прочность. Коронка защитит его от трещин и сколов
когда большая часть зуба разрушена
Когда сохранилась меньше половины верхней части зуба, то лучше всего восстановить его коронкой
при замене временной коронки
Коронка из циркона подходит в качестве постоянного решения: прочная, точная по посадке и сохраняет естественный внешний вид
acedent@mail.ru
мы в соцсетях
электронная почта
@avtorskaya_dv
телефоны
меню
как нас найти
г. Хабаровск,
ул. Серышева, 44
г. Хабаровск,
ул. Ленинградская, 53к1, оф. 306
Вход со стороны ул. Серышева
Вход в бизнес-центр, 3 этаж
Режим работы
9:00-18:00
выходной
Сб
Вс
9:00-20:00
Пн
Вт
Ср
Чт
Пт
напишите нам, и наш менеджер свяжется с вами
от первого приёма до фиксации коронки
Как проходит лечение
осмотр и план лечения
Изготовление в лаборатории
цифровое сканирование
примерка и фиксация
Врач оценивает состояние зуба, проводит диагностику и предлагает оптимальное решение
Коронка создаётся в нашей зуботехнической лаборатории. Контроль на каждом этапе
Снимаем точные цифровые оттиски для изготовления коронки
Врач проверяет посадку коронки, прикус и контакт с соседними зубами, затем фиксирует её
врачи, которые понятно объясняют, точно планируют и надёжно лечат
Ортопеды сопровождают вас на каждом этапе — от первичного осмотра до фиксации готовой коронки. Врач объясняет, какие варианты возможны, и подбирает решение, исходя из показаний.
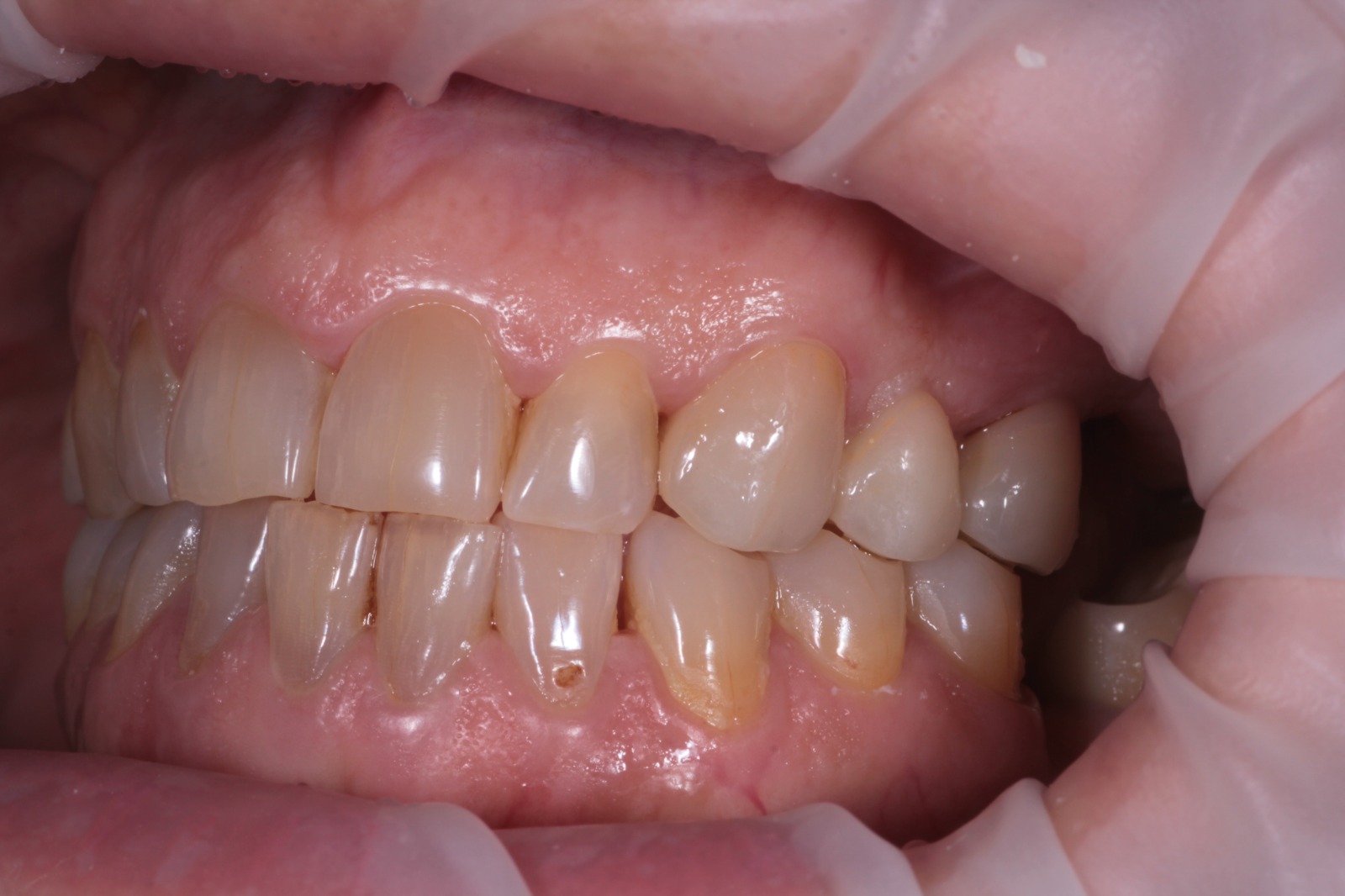
надёжное восстановление жевательных зубов
Коронки из диоксида циркония на жевательные зубы могут выглядеть естественно и натурально. В этой работе цвет и анатомия коронки подобраны так точно, что её сложно отличить от своих зубов
Сможете найти коронку из циркона?
истории наших пациентов
Прежде чем довериться самому, нам часто хочется понять как было у других

Каждый отзыв — это не просто оценка, а целая история: страх, первый шаг, лечение, результат
Отзывы
Прохожу в настоящий момент очень
непростой путь по реконструкции и лечению своих зубов. Где только я не была, и у кого только не наблюдалась… и благодарна судьбе за то, что по итогу меня по воле счастливой случайности мой хороший знакомый отправил в клинику к Алексею Львовичу Хану…
Юлия Говорухина
Место где ты чувствуешь что о тебе заботятся и пытаются помочь. Комфортно даже если ты давно стоматологофоб! Врач Евгений Валентинович, ассистенты, администратор Людмила, с вами так спокойно! Огромная благодарность вам за ту любовь с которой вы делаете свою работу!
александра самойлова
Луцкин М.М. лучший! Специалист во всем… С ним не страшно ни лечение, ни удаление, ни установка коронок и имплантов… Несколько лет назад он удалял и устанавливал импланты… В др. Клинике. Через пять лет я его нашла здесь… В авторской стоматологии. Теперь только к нему. Очень внимателен и доступно объясняет план лечения и установку имплантов.
анна устинова
остались вопросы?
НИЖЕ СОБРАЛИ ОТВЕТЫ НА САМЫЕ ЧАСТО ЗАДАВАЕМЫЕ ВОПРОСЫ
Нет. Акция распространяется только на жевательные зубы — это позиции № 4−7 в верхней и нижней челюсти.
Предложение действует до 31.12.2025 Стоимость фиксируется на момент записи
На консультации врач оценит состояние зуба, расскажет о вариантах и разработает план лечения
хотите восстановить зуб без переплат?